【主な機能】
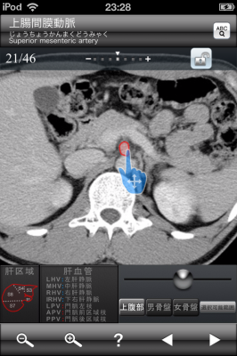
・画像上で調べたい部分にカーソルを合わせると解剖名が画面上部に表示されます。
・画像の拡大縮小、スクロールなどはジェスチャーやボタンで素早く行えます。
・肝区域、肝血管(門脈、静脈)の詳細が表示できます。
・解剖名から検索することができます。
・収録内容は上腹部CT(46スライス、解剖名数49)、男性骨盤部CT(51スライス、解剖名数69)、女性骨盤部CT(21スライス、解剖名数53)です。
【特徴とアピールポイント】
断層解剖を調べたいと思った時、既存の医学書籍では調べにくい、 重いといった問題点がありました。
断面図ウォーカーをお手持ちのiPad、iPhone、iPod touchに入れて持ち歩けば病院など臨床現場での画像診断やムンテラの際、素早く、インタラクティブに解剖を調べることができます。
また、じっくり勉強する際にも解剖境界の詳細な描出、軽快な動作と直感的なインターフェイスが学習効率を高めます。
当社は放射線科専門医による遠隔画像診断を主業務としております。ソフト制作における解剖の決定は全て、プログラミングも大部分が放射線科の画像診断専門医が行なっております。
【リリース情報】
アプリケーション名:断面図ウォーカー腹部CT
販売価格:¥1,900
販売会社:株式会社ラディオアクティブ
断面図ウォーカープロモーションページ:http://www.radioactive.jp/products/ctmriipn/index.html
App Storeリンク:https://itunes.apple.com/jp/app/duan-mian-tuu-oka-fu-buct/id672689241?mt=8
実際の動作画面と操作説明(You Tube):http://youtu.be/LwsV0DlSjhI
【本リリースに対するお問い合わせ】
株式会社ラディオアクティブ 東京都文京区本駒込1-1-20-301 担当 松田亮
電話:03-3822-0190/ファックス:03-3868-2472/メール:matsuda@radioactive.jp
・画像上で調べたい部分にカーソルを合わせると解剖名が画面上部に表示されます。
・画像の拡大縮小、スクロールなどはジェスチャーやボタンで素早く行えます。
・肝区域、肝血管(門脈、静脈)の詳細が表示できます。
・解剖名から検索することができます。
・収録内容は上腹部CT(46スライス、解剖名数49)、男性骨盤部CT(51スライス、解剖名数69)、女性骨盤部CT(21スライス、解剖名数53)です。
【特徴とアピールポイント】
断層解剖を調べたいと思った時、既存の医学書籍では調べにくい、 重いといった問題点がありました。
断面図ウォーカーをお手持ちのiPad、iPhone、iPod touchに入れて持ち歩けば病院など臨床現場での画像診断やムンテラの際、素早く、インタラクティブに解剖を調べることができます。
また、じっくり勉強する際にも解剖境界の詳細な描出、軽快な動作と直感的なインターフェイスが学習効率を高めます。
当社は放射線科専門医による遠隔画像診断を主業務としております。ソフト制作における解剖の決定は全て、プログラミングも大部分が放射線科の画像診断専門医が行なっております。
【リリース情報】
アプリケーション名:断面図ウォーカー腹部CT
販売価格:¥1,900
販売会社:株式会社ラディオアクティブ
断面図ウォーカープロモーションページ:http://www.radioactive.jp/products/ctmriipn/index.html
App Storeリンク:https://itunes.apple.com/jp/app/duan-mian-tuu-oka-fu-buct/id672689241?mt=8
実際の動作画面と操作説明(You Tube):http://youtu.be/LwsV0DlSjhI
【本リリースに対するお問い合わせ】
株式会社ラディオアクティブ 東京都文京区本駒込1-1-20-301 担当 松田亮
電話:03-3822-0190/ファックス:03-3868-2472/メール:matsuda@radioactive.jp



